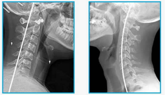
健康教育再不注意姿势,小心颈椎生理曲度变直了本文内容提要: 颈椎变直是怎么一回事。 颈椎变直有什么危害。 颈椎变直如何自我康复。 医院有什么项目可以加速颈椎生理曲度变直的恢复。 FunPT2023年3月24日